If missing or failing teeth have quietly started controlling your choices — what you eat, how you smile, what you avoid — you’re not imagining it.
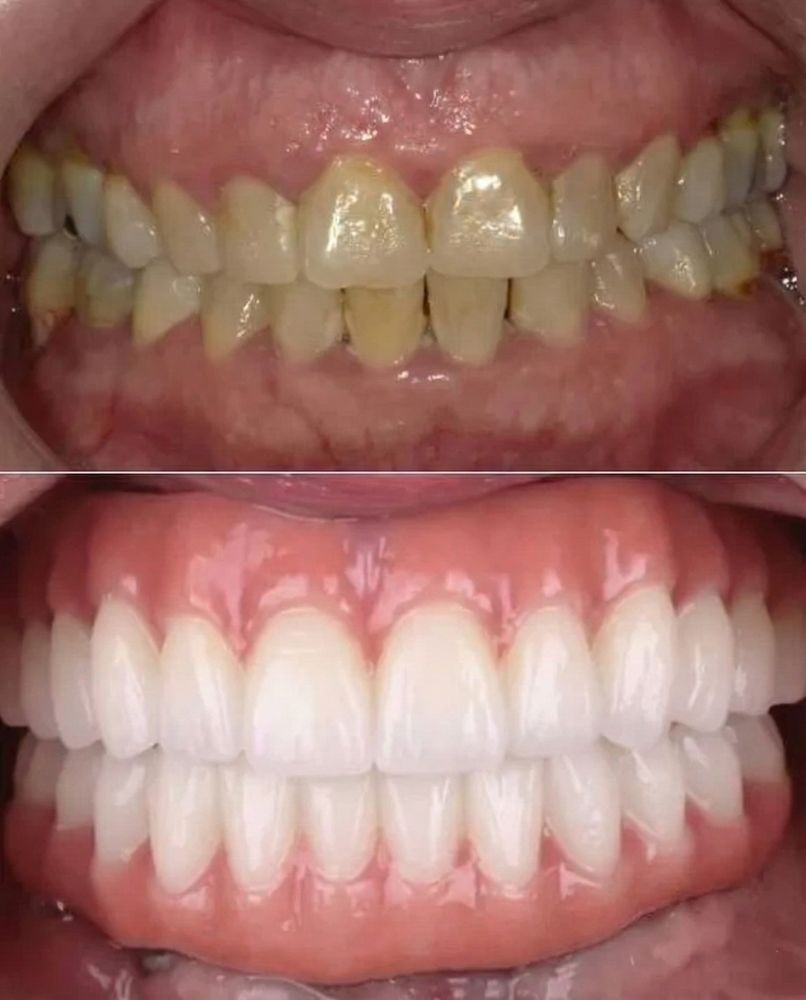
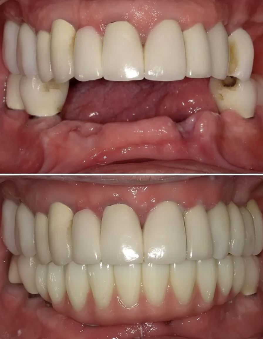
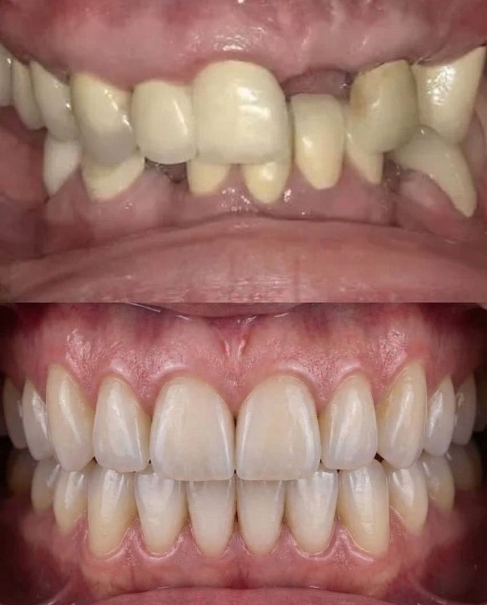
Full arch dental implants can replace an entire set of teeth with a fixed, permanent solution — so nothing slips, clicks, or comes out at night. And you eat, smile, and speak without hesitation again.
*Consultation is complimentary. Treatment costs discussed separately.
Most people who explore Full Arch Dental Implants aren’t chasing cosmetics.
They’re dealing with:
Many patients choose full arch implant solutions when they’re ready for a permanent way forward.
These full-arch teeth replacements are for people done planning life around their teeth—once avoiding foods, holding back smiles, and worrying about failure, now living with stable teeth they no longer have to think about.



Full Arch implants replace an entire set of missing teeth using just a few implants (usually 4 or more). These implants act like strong support beams, holding a full arch of teeth securely in place so they stay stable and don’t move.
Unlike traditional dentures that can slip and need regular adjustments, these implants stay in place and you can feel just like having your natural teeth back. This means you can laugh freely, speak clearly, and eat whatever you want without worry.
Dr. Heering earned his Doctorate of Dental Medicine from Tufts University School of Dental Medicine after graduating from Rutgers University. He completed advanced specialty training in Periodontics at Boston University.
He is a staff periodontist at Hamilton Hospital and a member of the American Dental Association, American Association of Periodontology, New Jersey Society of Periodontists, and the Dental Organization for Conscious Sedation.
Dr. Heering has placed over 10,000 dental implants, making him one of the most experienced implant surgeons in New York City. He also completes 50+ hours of continuing education each year in periodontal care and implant technology.
Dr. Heering focuses on ensuring patients feel comfortable and at ease during treatment, especially when procedures involve surgery.
Because full arch dental implants are permanent, the investment is higher upfront. Exact pricing depends on anatomy, bone health, and the number of implants needed.
Hear directly from those who’ve experienced our care.
My hygienist is the BEST. Ive been going here for a while now but it's my first time with Jia and man I'm very very happy with my experience. Jia is extremely knowledgeable, gentle and thorough! I'm glad I found her and will be requesting her EVERY 6 months.
I had a good experience at the office today. I met the receptionist, Trish. She was awesome and very caring. During my time there, she checked in on everyone who had appointments and offered refreshment as well. I commend Trish for her work.
I can’t Thanks Dr. Kavi enough because as a new patient he took good care of me in no time. All of the staff are so nice. This is the best place to go to. I am a private and he understood my financial situation. I will never to go another place other than this clinic.
This is the cleanest, best office I have ever been to. Not to mention the most friendliest staff ever! When you walk into the office the ambiance is one for the books! Trish at the front is such a warm and welcoming woman, and always makes me feel like I am apart of the family! Veronica at the front desk is always very accommodating along with the rest of the staff. I have nothing but great things to say about this practice! I recommend it to so many people!
This place was so amazing. I have never fallen asleep in a dentist chair until today. It's insanely relaxing here and so amazing! Also complimentary water too!
Wonderful place, I’ve been looking for a family Dr for years and this is my new home, as soon as I walk in between Trish and Veronica I was glad to find this jewel of people in the middle of Queens, the Dr was amazing to the point of coming back!!!! Thumbs up Electchester Dental
After 25 years with my previous dentist I decided I need somewhere closer to home. So I tried this place 5 minutes from me! So far so good, all the staff was very pleasant and courteous and the office was very modern. looking forward to my next visit!
Always kind and friendly staff.. they go on and beyond to make sure you feel comfortable and at home. We had an issue with our insurance and Veronica helped from beginning til the very end.. calling back to make sure all the information was received and even checking up to make sure everything was good. We love them here!!!
The procedure typically takes a few hours, but it might require several visits for planning and follow-ups. Many patients can have temporary teeth placed on the same day as the surgery.
The procedure is done under anesthesia, so you won't feel pain during the surgery. After the procedure, you might feel some discomfort, but this can be managed with medication.
With proper care, All-on-X Implants can last a lifetime. Regular dental check-ups and good oral hygiene are essential for their longevity.
Full arch implants are a superior, permanent alternative to traditional dentures, offering a fixed, non-removable solution that mimics natural teeth. They eliminate slipping, restore full chewing function, prevent jawbone loss, and can last a lifetime, whereas dentures require replacement every 5–10 years.
You’ll receive exact pricing and review full arch implant financing during your consultation.
The consultation is simply a chance to understand: